Le partenaire des professionnels en dentisterie
Faites confiance à nos prothésistes dévoués et passionnés !
Nous vous ferons profiter de près de 40 ans de savoir-faire.
Implant et attachement
Abutment personnalisé en zircone
Le pilier personnalisé en zircone est réalisé en fonction des exigeances necessaires,il nous permet d’avoir un profil d’émergence idéal La précision est donc du plus haut niveau. Nous nous chargeons uniquement de la modélisation et de l’usinage du moignon.
Implants
Nous réalisons tout type de prothèse implanto-portée du simple moignon sur Ti Base à la barre implantaire avec, par exemple des céramiques sur Thimble et fausse gencive céramique ou composite.
Les développements de la CFAO en ce domaine nous permettent d’envisager les constructions complexes. Notre scanner 3 SHAPE D900 vous garantie le degré de précision le plus élevé à ce jour.
Les techniques de fabrications d’infrastructures seront réalisées soit par impression 3D puis coulées, ou par usinage: CrCo, titane ou Peek.
Nous travaillons sur toutes marques d’implants. Pour les moignons personnalisés nous disposons des fichiers de Ti bases de l’ensemble des marques d’implants. La quasi totalité des références sont ainsi couvertes. Les garanties sur ce type de fournitures peuvent aller jusqu’à 30 ans.
Implants
Les utilisateurs de tous types de caméra intra-orale peuvent scanner les cas de prothèses implanto-portée car nous imprimons les modèles en y intégrant les analogues d’implants.
Cette technique est possible pour les marques suivantes:
Zimmer, Straumann, Global D, Mis, Nobel Biocare,Branemark, Biomet 3I, Dentsply, Tekka, Thommen Medical, Bio Horizons, Avinent, Camlog, BTI, Bego Semados Implant, Biotech…
Nous contacter pour la liste complète desmarques et types disponible.
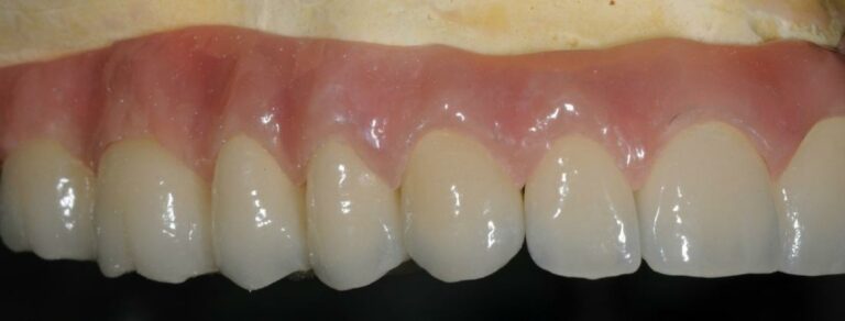
Les images ci contre: Céramiques télescopes sur barre avec fausse gencive céramique.
Bridge zircone implanto porté avec fausse gencive céramique.
Prothèse complète résine sur pilotis.
Modèle imprimé avec insertion d’analogue d’implant sans et avec abutment zircone.
Abutments anodisés par nos soins.
Armature de bridge zircone transvissé.
Détail de barre implantaire en Peek sur ti base et finition tout composite (photo ci dessous).
Depuis juin 2016 nous proposons des « Raw Abutments » usinés en Titane ou chrome Cobalt. Il s’agit de « pre mill »: La connectique est usinée en industrie et le moignon anatomique est modèlisé et usiné par nos soins.
Nous usinons également les barres implantaires en Cr Co ou en titane. Dans ce cas la connectique, base titane, est collée.
Attachements
Intra coronaire, extra coronaire ou axial, nous avons sélectionné une gamme d’attachements éprouvés. Nos principaux fournisseurs sont Cendres et métaux et Ceka.
Certains attachements peuvent être usinés en zircone: extra coronaire Ceka revax, barres CM par exemple.
Nous pouvons également réaliser les couronnes télescopes.
Barre en Peek avec dents et fausse gencive composite, barre en Peek nue, centrales zircones stratifiées sur moigon zircone+Ti base, Ti base sur bridge, Bridge complet zircone sur Ti base, Abutment Peek sur Ti base, bridge complet avec fausse gencive céramique scellé sur abutment zircone et Ti base, bridge zircone mandibulaire transvissé avec fausse gencive céramique, abutment zircone et métallique ( brut de coulée) sur Ti base, ajustage de maquette impression 3D sur base titane.
Positionnement de barre
Base sur barre
Base sur barre
La fabrication 100% Française de nos prothèses
sont réalisées dans notre laboratoire.
Une équipe compétente
Nous travaillons avec des techniciens qualifiés
Des matériaux fiables
Nous vous garantissons des prothèses de qualité optimale
Des équipements complets
Nous assurons toutes les étapes de fabrication
Respect des procédures de fabrication
De l’usinage des matériaux au moulage des prothèses, tout est réalisé dans les normes
Vos patients ont besoin de prothèses de qualité ?
Faites confiance à nos prothésistes dévoués et passionnés ! Nous vous ferons profiter de près de 40 ans de savoir-faire.

















